1


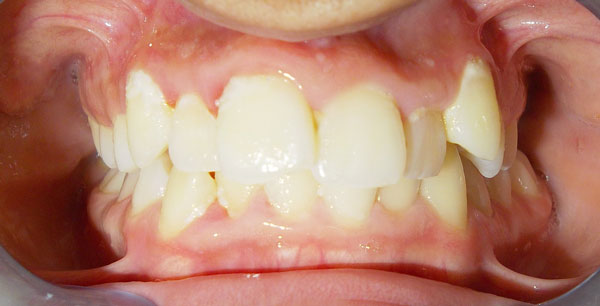
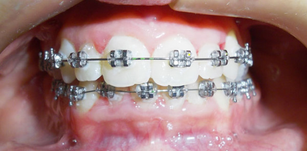
IMGP4115

Agende agora a sua consulta e cuide da sua saúde oral!

Preencha o formulário abaixo e agende sua consulta hoje mesmo. Nossa equipe está pronta para atendê-lo com cuidado e atenção.